SEARCH Kontakt MENU CLOSE
Kinderwunschklinik Prag, Tschechien
Close Image
Kinderwunschklinik Prag, Tschechien
BLOG

Unsere Artikel

Wir schreiben für Sie nicht nur darüber, wie Sie sich auf künstliche Befruchtung vorbereiten können, sondern auch über den Verlauf, Neuigkeiten in unserer Klinik und über die von uns verwendeten Technologien.

3 min Lesung · Artikel

Folsäure ist wichtig, um schwanger zu werden, aber auch in der Schwangerschaft

Sie haben gemeinsam entschieden, dass jetzt der richtige Moment für ein Baby gekommen ist? Herzlichen Glückwunsch! Es erwartet Sie eine spannende Zeit, in der Ihr Leben komplett auf den Kopf gestellt wird. Deshalb ist es für die Entwicklung des Babys sowie für die Gesundheit der Mutter umso wichtiger, die richtigen Nährstoffe und Vitamine aufzunehmen. Heute sehen wir uns den absolut wichtigsten Nährstoff genauer an: Folsäure.

1 min Lesung · Artikel

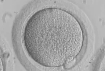
Qualitätsbewertung entnommener Eizellen und Embryonen

Im Laufe einer Kinderwunschbehandlung können Sie auf verschiedene Abkürzungen stoßen, die Auskunft über die Qualität entnommener Eizellen oder sich entwickelnder Embryonen geben. Unser Labor erklärt Ihnen in diesem Artikel die Fachbegriffe, die eine Kinderwunschklinik verwendet, um Sie über die Qualität der Eizellen oder Embryonen zu informieren.

1 min Lesung · Artikel

Blastozyste: ein fünf Tage alter Embryo

Die meisten Embryotransfers erfolgen bei einer Kinderwunschbehandlung am fünften Tag, wenn sich der Embryo im Stadium einer Blastozyste befindet. Doch was ist eine Blastozyste genau und warum ist dieses Stadium so wichtig?

Haben Sie eine Frage?

Kostenlose Erstberatung

 
 
Bevorzugte Sprache
Ich interessiere mich für
Ihre Fragen werden selbstverständlich diskret und vertraulich behandelt.
SSL Alle Mitteilungen werden mit SSL verschlüsselt und unterliegen den Regeln unserer Datenschutzrichtlinien
 
Kostenlose Erstberatung

Vielen Dank für Ihr Interesse an einer Samenspende.
Wir wissen Ihre Bereitschaft zu helfen sehr zu schätzen.

Derzeit registrieren wir jedoch keine neuen Spender.

Vielen Dank für Ihr Verständnis.