Valutazione della qualità degli ovociti e degli embrioni
20.7.2022 · 1 min lettura
Nel corso del trattamento di PMA è possibile incontrare varie abbreviazioni che valutano la qualità degli ovociti raccolti o degli embrioni in via di sviluppo. Il nostro laboratorio ha preparato un articolo in cui vengono spiegati tutti questi termini tecnici. La tua clinica dovrebbe informarti sulla qualità degli ovociti e degli embrioni durante il trattamento.
Qualità degli ovociti: GV, MI, MII
La qualità degli ovuli (ovociti) raccolti gioca un ruolo chiave nel successo della fecondazione in vitro. Un ovocita non maturo è indicato come GV. In questo caso l’ovocita non è adatto per la fecondazione. L’ovocita nella fase MI è quasi maturo, al momento inadatto alla fecondazione, ma può maturare entro poche ore. Per la fecondazione si utilizzano ovociti maturi nella fase MII con un corpo polare visibile.

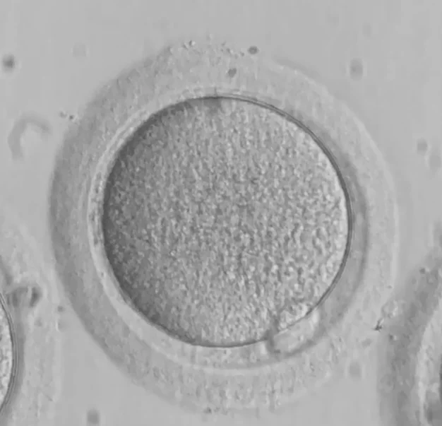
Ovocita MII: Ovocita maturo adatto per la ICSI
Dopo la fecondazione, gli embrioni vengono coltivati in un’incubatrice, dove c’è un ambiente stabile adatto per un ulteriore sviluppo. Nel nostro laboratorio utilizziamo l’Embryoscope, che è dotato di una telecamera che fornisce un monitoraggio continuo degli embrioni. Questa tecnologia riduce la necessità di manipolazione degli embrioni e consente la valutazione dei momenti cruciali dello sviluppo.
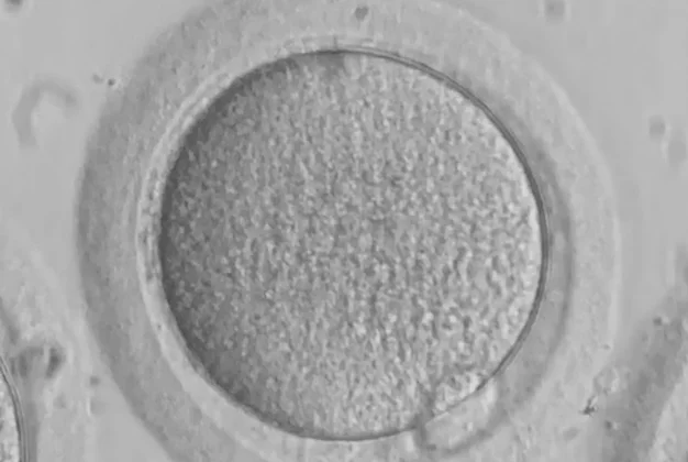
Ovocita fecondato
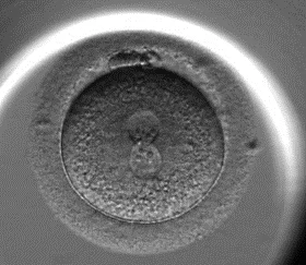
Se l’ovocita è stato fecondato, il primo giorno possiamo osservare la presenza di due pronuclei.

Ovocita fecondato il primo giorno dopo la ICSI: 2 pronuclei evidenti.
Secondo e terzo giorno: Divisione cellulare regolare
Nei giorni successivi alla fecondazione, si verifica la cosiddetta segmentazione. Ciò significa che le cellule dell’embrione si dividono in modo regolare.

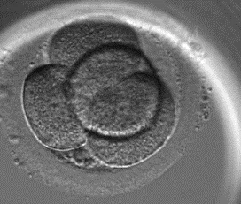
Il secondo giorno, l’embrione si divide regolarmente (stadio di 4 cellule)

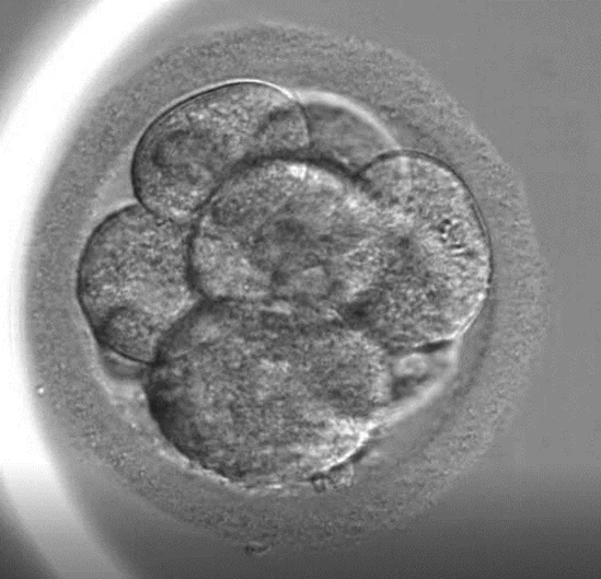
Il terzo giorno, l’embrione continua a dividersi regolarmente (stadio di 8 cellule)
Quarto giorno: Morula
Il quarto giorno si verifica la compattazione delle cellule – si formano connessioni tra loro e le singole cellule non sono più riconoscibili. L’embrione in questa fase è chiamato morula.

Morula
Quinto giorno: Blastocisti
Il quinto giorno si forma la blastocisti. Le cellule sono formate dall’embrioblasto interno, da cui si sviluppa successivamente il feto e il trofoblasto esterno, da cui si forma la placenta.
In questa fase, gli embrioni vengono trasferiti in utero o conservati mediante vitrificazione per un ulteriore utilizzo.
Durante l’intero sviluppo dell’embrione, dovremmo osservare uno sviluppo regolare senza grandi deviazioni o frammentazioni indesiderate.

Embrione allo stadio di blastocisti. Trofoblasto ed embrioblasto possono essere distinguibili.
