Hodnocení kvality odebraných vajíček a embryí
27.6.2022 · 1 min čtení
V průběhu IVF léčby se můžete setkat s různými zkratkami, které hodnotí kvalitu odebraných vajíček nebo vyvíjejících se embryí. Naše laboratoř pro vás připravila článek, ve kterém jsou všechny tyto odborné termíny vysvětleny. O kvalitě vajíček a embryí by vás měl v průběhu léčby měla vaše klinika informovat.
Kvalita vajíček: GV, MI, MII
Kvalita odebraných vajíček (oocytů) hraje klíčovou roli v tom, zda bude IVF úspěšné. Vajíčko, které je nezralé se označuje jako GV. Takové vajíčko není vhodné k oplození. Vajíčko ve stádiu MI je téměř zralé, v tuto chvíli nevhodné k oplození, ovšem během několika hodin může dozrát. K oplozování se používají zralá vajíčka ve stadiu MII s viditelným pólovým tělískem.

Po oplození se embrya kultivují v inkubátoru, kde je stabilní prostředí vhodné pro další vývoj. V naší laboratoři používáme Embryoskop, který je vybaven kamerou zajišťující kontinuální monitoring embryí. Tato technologie snižuje potřebu manipulace s embryi a umožňuje hodnocení zásadních momentů vývoje.
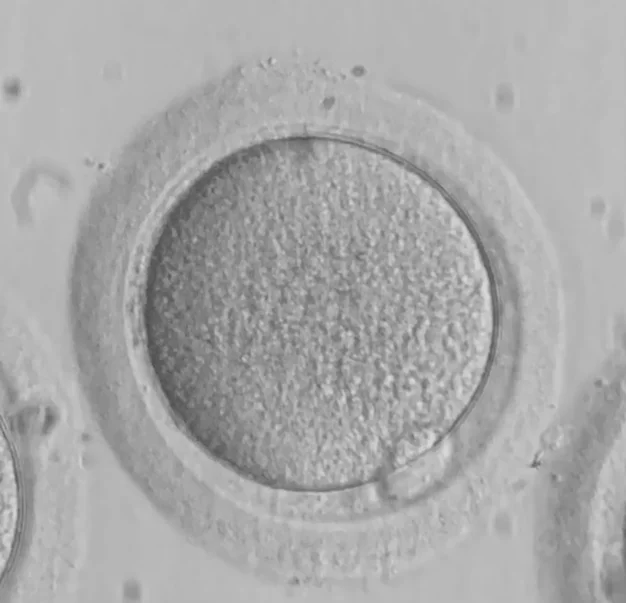
Oplodněné vajíčko
Došlo-li k oplození oocytu, první den můžeme pozorovat přítomnost dvou prvojader.

Druhý a třetí den: Pravidelné dělení
V následujících dnech po oplození dochází k tzv. rýhování. To znamená, že se buňky embrya pravidelně dělí.


Čtvrtý den: Morula
Čtvrtý den dochází ke kompaktaci buněk-vytváří se mezi nimi spoje a jednotlivé buňky nejsou již rozpoznatelné. Embryo v tomto stádiu nazýváme morula.

Pátý den: Blastocysta
Pátý den se utváří blastocysta. Buňky jsou uspořádány na vnitřní embryoblast, ze kterého se později vyvíjí plod a vnější trofoblast, ze kterého vznikne placenta.
V tomto stádiu se embrya transferují nebo se uchovávají pomocí vitrifikace k dalšímu použití.
Během celého vývoje embrya bychom měli pozorovat pravidelný vývoj bez větších odchylek či nežádoucích fragmentací.
