Blastocysta: Pětidenní embryo
27.6.2022 · 1 min čtení
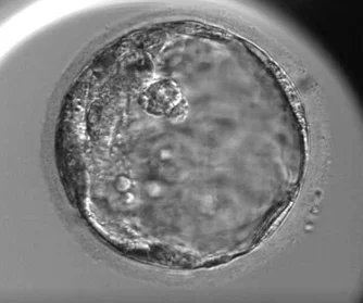
Většina embryotransferů v průběhu IVF léčby probíhá pátý den, kdy je embryo ve stádiu blastocysty. Co to však blastocysta přesně znamená a proč je toto stádium tak důležité?
Blastocysta je časná fáze vývoje embrya, která vzniká pátý den po oplození. Buňky blastocysty jsou rozděleny na vnitřní vrstvu – embryoblast, ze kterého se později vytváří plod a na vnější obal trofoblast, který dává za vznik placentě.
V tomto stádiu zpravidla dochází k přenosu embrya do dělohy, přičemž kvalita blastocysty určuje, zda bude vhodná k transferu či nikoliv.


Transfer blastocysty
Embryotransfer je krátký a bezbolestný výkon bez anestezie, který probíhá na zákrokovém sále, kdy lékař zavede pod ultrazvukovou kontrolou pomocí katetru embryo do dělohy pacientky.
Standardně se provádí přenos jednoho embrya. Na žádost pacientky lze však provést i transfer dvou, přičemž je ale nutno brát v potaz možný vznik vícečetného těhotenství.
Transferované embryo se následně implantuje do děložní sliznice, tzv. endometria. Vlivem nidace (uhnízdění embrya) může občas docházet k mírnému krvácení či špinění, což ale nemusí znamenat selhání procesu.
Kryokonzervace blastocysty
Kvalitní blastocysty, které se netransferují v daném cyklu je možné zamrazit a uskladnit v tekutém dusíku do budoucna. Takto lze embrya skladovat v podstatě po neomezeně dlouhou dobu a použít je v případě plánování další léčby.
Kryokonzervace blastocysty umožňují opakovat transfer, pokud nedojde k uchycení prvního embrya. Zvyšuje tak šanci na úspěšné otěhotnění bez nutnosti provést celý IVF cyklus znovu.